임플란트

풍부한 임플란트 식립 노하우와 최신 장비를 통해 편안하고 오래가는 임플란트를 시술합니다.

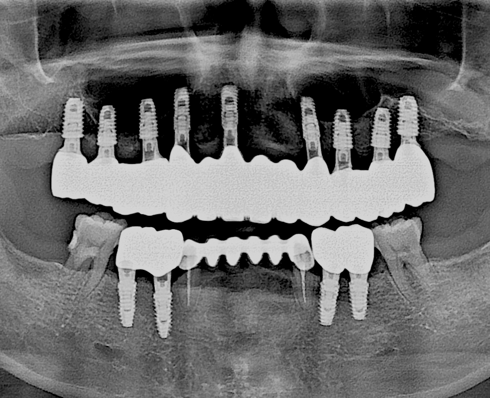
전체 임플란트

틀니 없이 편안한 치아

전체 임플란트는 1,2개의 임플란트와는 다른 난이도가 높은 수술입니다.
단순 치아가 아닌 전반적인 구강구조의 해부학적 의학지식과 풍부한 임상경험이 필요합니다. 또한 최소한의 오차범위로 정밀한 치료를 위한 정확한 분석과 기술력이 뒷받침되어야 합니다.
NAMYANG BARUN

완성도가 다른
남양바른탑치과의 전체 임플란트

왜 전체 임플란트는 남양바른탑치과 일까요?

  • 01

    수술 경험과 데이터가 풍부한 임플란트 전문병원

    수많은 수술을 진행한 전문가가 안전하고 확실한 결과를 만들어 냅니다.
    모든 수술은 대표원장이 직접 집도하며 사후관리까지 책임집니다.
  • 02

    전담 기공소에서 만드는 편안하고 자연스러운 치아

    의료진 협진을 통하여 수술 후 완성되는 보철물까지 모두 대표원장이 직접 체크합니다.
  • 03

    임플란트 수술만을 위한 시설과 안전 장비

    남양바른탑치과는 매일 진행되는 수술에 대비해 안전을 위한 장비를 완비하고 있습니다.
  • 04

    안전한 임플란트 완성을 위한 필수 장비 Osstell Mentor와 Anycheck

    임플란트 식립체와 뼈 간 골유착이 일어난 정도를 나타내는 지표인
    ISQ (Initial Stability Quotient) value를 객관적으로 측정한 뒤 안전하게 보철물 과정을 진행합니다.
  • 05

    정품 인증서 발급

    남양바른탑치과는 모든 수술에 정품 인증서를 발급하여 수술의 신뢰도를 높입니다.
  • 06

    최대 10년 책임 진료 보증제

    치료만큼 중요한 관리. 남양바른탑치과는 여타 병원과는 차원이 다른 기간의 종합적인
    진료 보증제를 운영하여 철저하게 짜여진 사후관리 프로그램을 통해 임플란트의 수명을 연장시키고 재수술 확률을 획기적으로 줄였습니다.

전체 임플란트

전체 임플란트란?

전체 임플란트는 치아가 대부분 또는 하나도 남지 않고 상실된 경우로
상실된 치아 전체를 회복하는 시술방법을 말합니다.

난이도 높은 시술이기 때문에 숙련된 전문의의 임상경험을 바탕으로 교합에 대한 정확한 이해와 기술력이 필요합니다.

  • 01

    풍부한 임상경험과 첨단 기술력

    전체 임플란트는 임상경험이 풍부한 의료진과 정밀한 분석이 가능한 첨단 장비의 유무가 가장 중요합니다. 남양바른탑치과는 대학병원급 첨단 장비와 임플란트 식립 20,000회 이상의 임상경험이 갖추어져 있습니다.
  • 02

    틀니보다 6배 더 강한 저작력

    틀니보다 씹는 힘과 느낌이 좋으며, 입안에서 틀니가 빠질 위험이 없고 잇몸에 상처가 나거나 잇몸뼈의 변형, 소실 발생 확률도 줄어들어 치아 건강상의 문제를 감소시켜주며 변형으로 인한 수정이나 재제작 없이 반영구적으로 사용 가능합니다.
  • 03

    치료기간 짧고 정확도는 높게

    다수의 임플란트를 식립하기 전 정밀 분석한 데이터를 기반으로 컴퓨터 모의수술을 진행합니다. 뼈, 잇몸, 신경을 통합적으로 고려하여 최적의 임플란트 식립 위치에 잇몸 절개 없이 작은 홈만 만들어 시술하는 무절개 수술로 진행합니다.
  • 04

    국내외 인정 받은 정품 사용

    값싼 재료보다는 국내외에서 인정받은 우수한 정품재료와 기구들만을 사용해 안전하며, 시술 후 보증서를 발급합니다. 오래 사용할 수 있는 최상의 결과를 만들어 내기 위해 노력합니다.

전체 임플란트, 이런 분들에게 필요합니다.

  • 오랜 틀니 사용으로 불편하신 분들
  • 치아가 전체적으로 없어 식사하기 힘드신 분들
  • 큰 수술이 힘들까봐 고민되시는 분들
  • 당뇨, 고혈압 등 전신질환이 걱정이신 분들
  • 전체적인 치아 복원을 짧은 기간에 원하시는 분들
  • 사고 등으로 대부분의 치아를 상실한 경우
  • 틀니로 인해 잇몸상태가 좋지 않은 경우
  • 고연령으로 치아가 모두 상실된 경우

전체 임플란트 비용

남양바른탑치과는 다양한 프로모션을 통하여 환자분들에게 최적의 치료 방법과 비용을 제시합니다.

비용에 영향을 주는 주 요소

  • 개별 임플란트 가격

  • 임플란트 식립 개수

  • 부가 수술 여부

    (뼈이식, 상악동거상술 등)

전체 임플란트 과정

  • 01

    수술 + 임시치아 완성

  • 3~12개월 후

  • 02

    본뜨기

  • 1~2주 후

  • 03

    최종치아 완성

내원 횟수 및 치료 기간

골질, 턱관절 상태가 좋은 경우 골질, 턱관절 상태가 양호한 경우 골질, 턱관절 상태가 불량한 경우
3회, 3개월 3~4회, 4~6개월 4~6회, 6~12개월

BARUN TOP Point 01

남양 처음의 원내 디지털 기공소

경력 20년 이상의 베테랑 전문 기공사가 직접 보철물 디자인부터 제작까지
전 과정에 참여하여 퀄리티 높은 보철물을 완성합니다.

자세히 보기

  • 꼼꼼하고
    정교한 제작
  • 치료기간
    내원횟수 감소
  • 환자 맞춤형
    보철 제작
  • 즉각적
    A/S대응

BARUN TOP Point 042

화성 남양 수면 마취 치과

치과 치료가 무서우신가요?! 이제 걱정하지 마세요.
화성 남양에서 숙련도 높은 수면 마취 치과입니다.

자세히 보기

  • 숙련된 의료진의
    마취 시스템
  • 다양한 치과 치료
    수면으로 가능
  • 검증된
    수면 마취 장비

BARUN TOP Point 03

책임 진료 보증제도 실시

각 진료 별 진료보증제도를 통해 정품인증서를 발급하고
최대 10년 간 책임 보증을 시행합니다.

자세히 보기

  • 각 진료별 사후관리 제도
  • 치료만큼 중요한 철저한 보증과 관리

BARUN TOP Point 04

어려운 케이스 재수술 가능 치과

임플란트 개수, 치료기간, 통증과 붓기, 부작용 등 환자분들이 수술 전
가장 걱정하는 요소들을 줄일 수 있도록 끊임없이 고민하고 연구합니다.

자세히 보기

  • 디지털 장비로
    정확한 분석
  • 환자 개인
    맞춤형 치료
  • 철저한
    치료 계획
  • 수술용
    가이드 제작

BARUN TOP Point 05

통증 최소화 치료 노하우

No Pain 마취기를 통한 최소 통증마취와
숙련된 의료진의 노하우로 통증 최소화 치료를 시행합니다.

자세히 보기

  • 무통마취기를
    통한 마취
  • 숙련된 의료진의
    마취 노하우
  • 통증의
    최소화

BARUN TOP Point 06

10단계 멸균 소독 시스템

1인 1기구 사용을 원칙으로 10단계에 걸친 멸균 소독 작업과
감염 관리 및 방역 수칙을 철저히 지키고 있습니다.

자세히 보기

  • 1인 1기구
    원칙
  • 철저한
    소독/멸균
  • 교차감염
    방지 시스템
  • 정기적
    직원 교육

BARUN TOP Point 07

패키지 프로모션 안내

다양한 진료 패키지로 치과 치료에 대한
비용 부담을 덜어드리고 있습니다.

자세히 보기

  • 임플란트
    패키지
  • 미백
    패키지
  • 불소
    패키지

남양 처음의 원내 디지털 기공소

화성 남양 수면 마취 치과

책임 진료 보증제도 실시

어려운 케이스 재수술 가능 치과

통증 최소화 치료 노하우

10단계 멸균 소독 시스템

패키지 프로모션 안내

Contact to
BARUN TOP

마음과 정성이 닿을 때까지 진심을 다해 진료합니다.

  • 대표번호

    031.8077.2600

  • 오시는길

    경기도 화성시 시청로6 훼미리프라자 3층

    네이버지도 자세히보기

  • 진료시간

    화/목/금09:30 - 18:30

    월/수09:30 - 20:30(야간진료)

    점심시간12:30 - 14:00

    토요일09:30 - 14:00 (점심시간 없음)

    일요일 및 공휴일은 휴진입니다.
비급여항목이용약관개인정보처리방침
Copyright 2018 © 바른탑치과의원 All rights reserved.