아이테로 구강스캐너 보유

류선정 교정원장님 진료 개시

23년 경력 최정길 원장님 초빙

오스템임플란트 10,000례 돌파!

환자를 위하는
바른 생각 바른 마음 으로
바른 결과를 만듭니다.

바른 마음으로 최상의 진료를 약속드립니다.

BARUN TOP Implant Clinic

오스템 임플란트 인증

15,000여 건의 수술을 바탕으로 환자별 맞춤 진료를 선사합니다.

임플란트 바로가기

BARUN TOP Orthodontic Clinic

바른 교정, 건강한 미소

1:1 맞춤 케어를 통해 처음부터 끝까지 책임지는 치아교정을 만나보세요.

치아교정 바로가기

BARUN TOP Pediatric Dentistry

우리 아이 첫 치과 주치의

영·유아검진부터 성장기 교정까지 우리 아이를 위한 첫 치과

소아·어린이 진료 바로가기

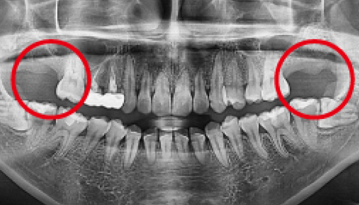
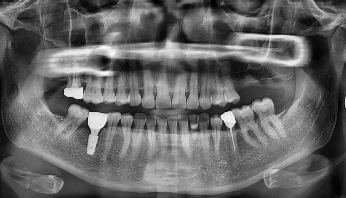
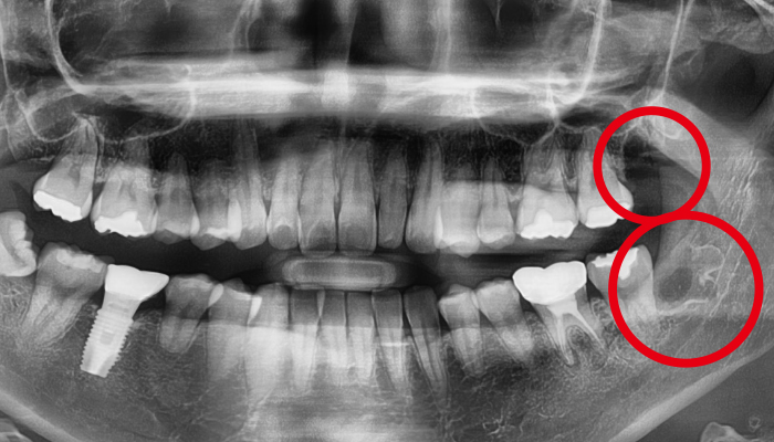
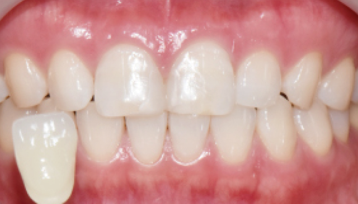
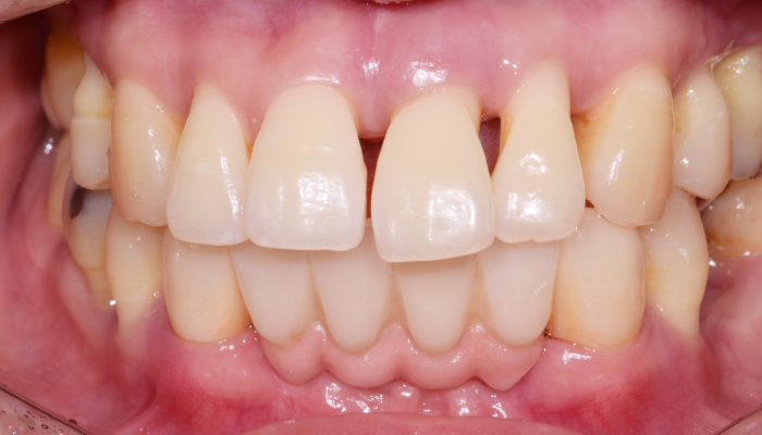
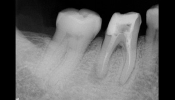
재수술 없는 임플란트

밝은 미소를 위한 치아교정

우리 아이 첫 치과 주치의

분과별 5인 의료진 협진

“최상의 결과를 만들어 내기 위해”

의료진 별 주치의 시스템과 자체 보증프로그램을 통해
치료 후에도 지속적인 케어와 관리를 약속드립니다.

의료진소개 바로가기

BARUN TOP DENTIST

BARUN TOP Story

| 남양바른탑치과의 새로운 소식을 만나보세요.

남양바른탑치과
진료과목 안내

대표원장을 필두로 각 분과별 의료진이 상주하며
넓고 편안한 공간에서 환자 맞춤형 진료를 시행합니다.

남양바른탑치과 특장점 바로가기

NAMYANG BARUN TOP In Numbers

숫자로 보는 남양바른탑치과

다 년간의 풍부한 임상경험과 전문지식을 바탕으로 양질의 진료서비스를 제공하여 최선의 결과를 보여 드립니다.

( 2024년 기준 )

누적환자

0명 돌파

임플란트 식립

0례 돌파

임플란트 성공률

0%

누적 교정 환자

0명 돌파

NAMYANG BARUN TOP
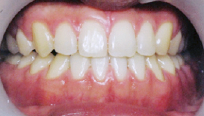
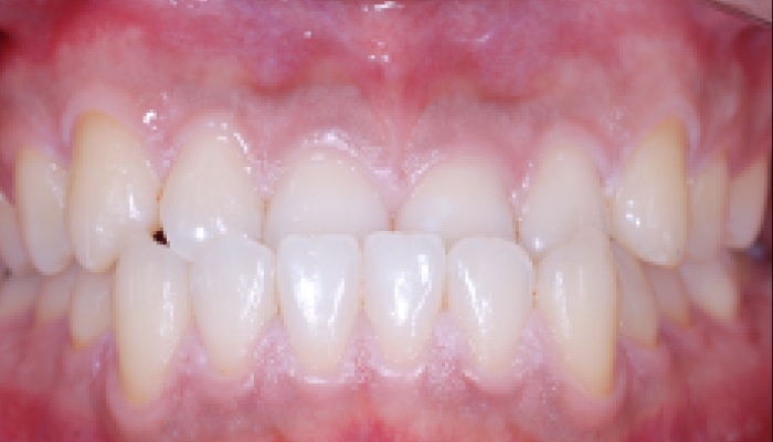
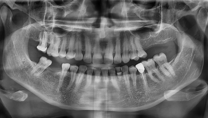
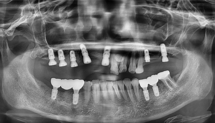
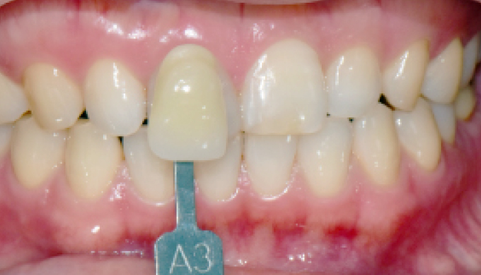
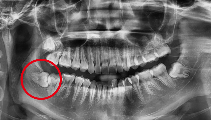
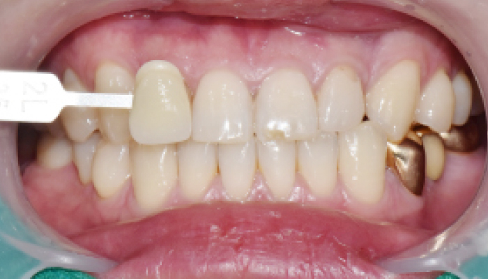
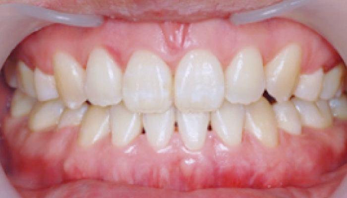
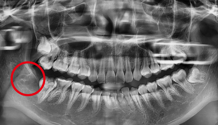
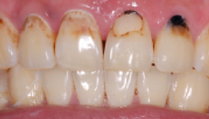
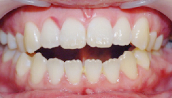
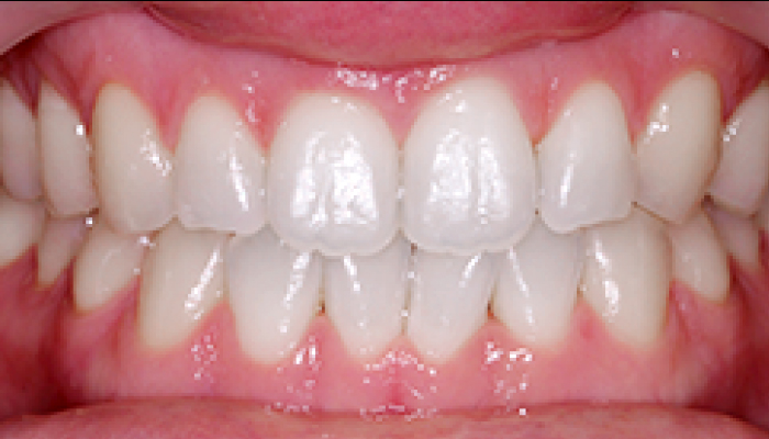
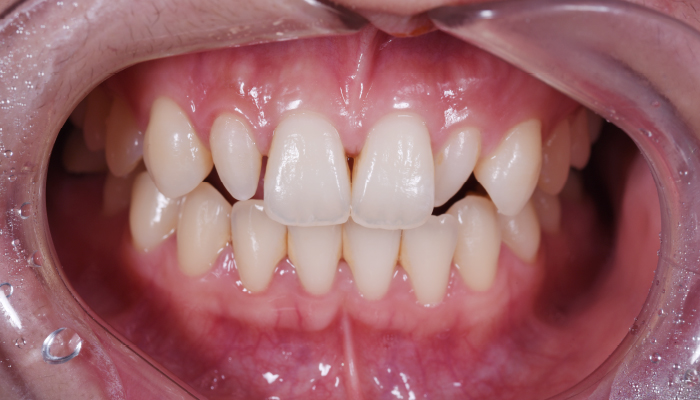
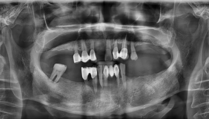
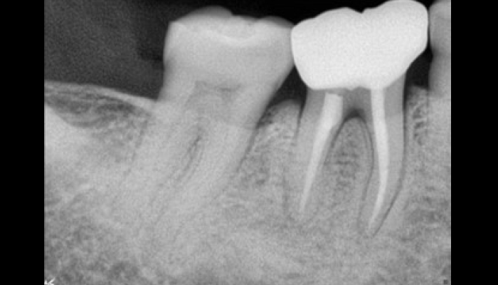
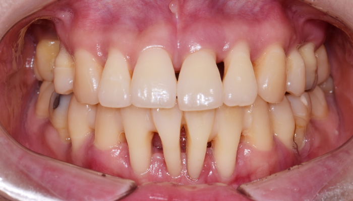
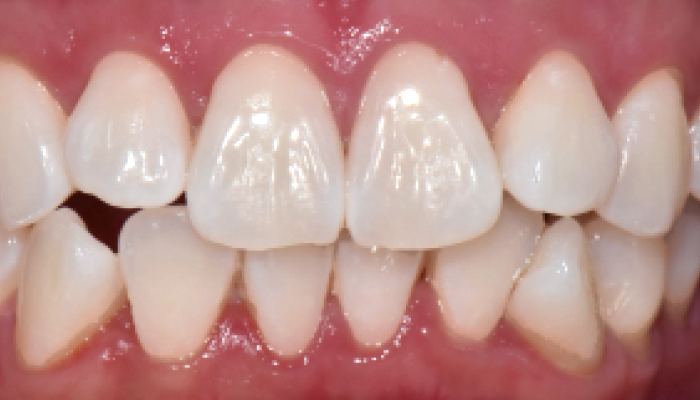
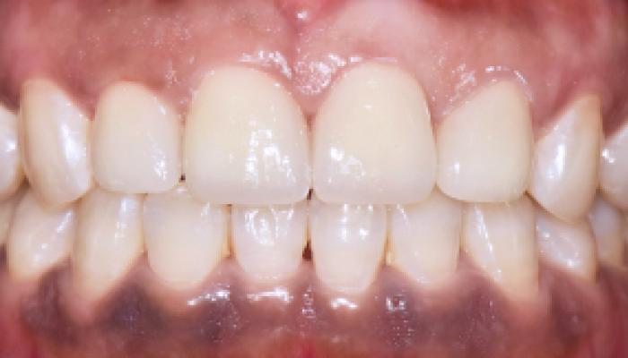
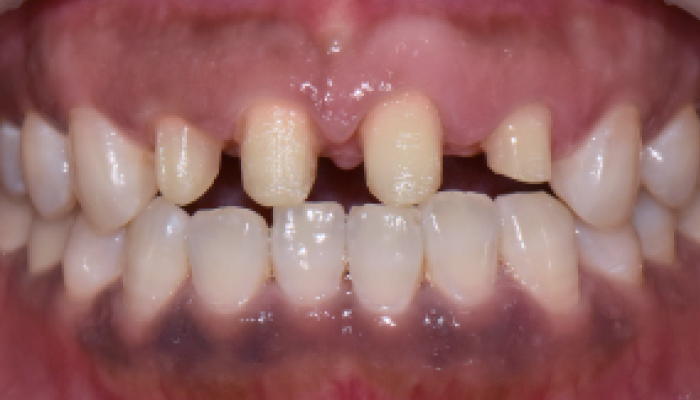
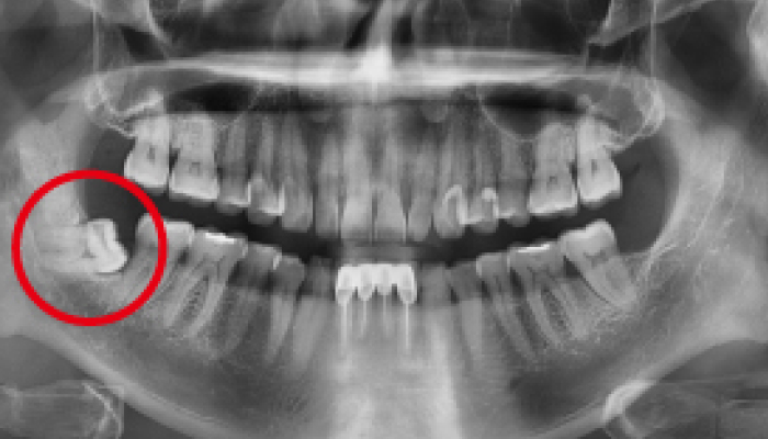
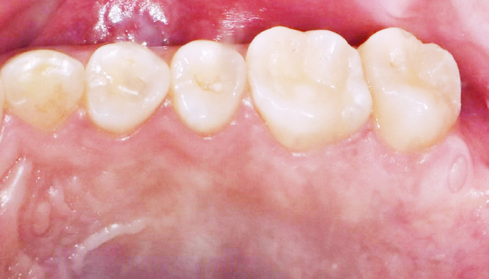
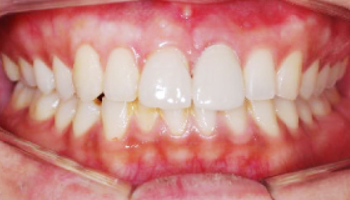
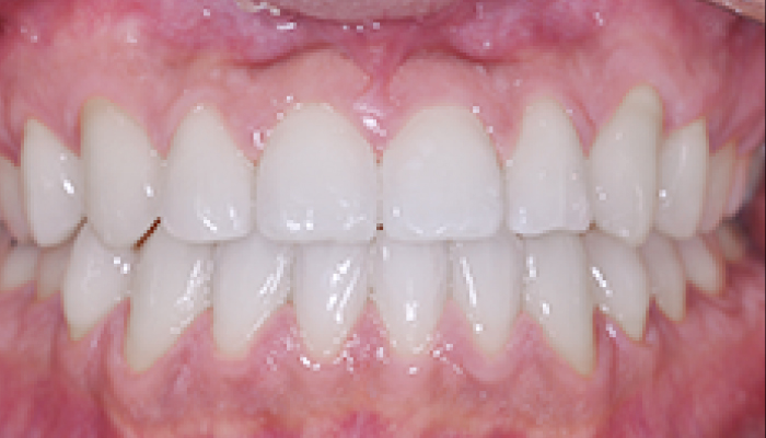
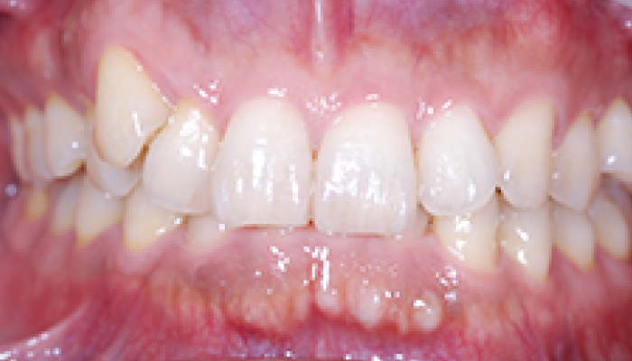
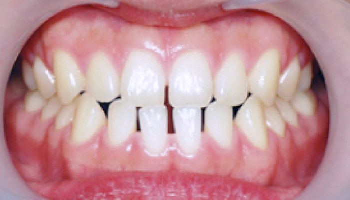
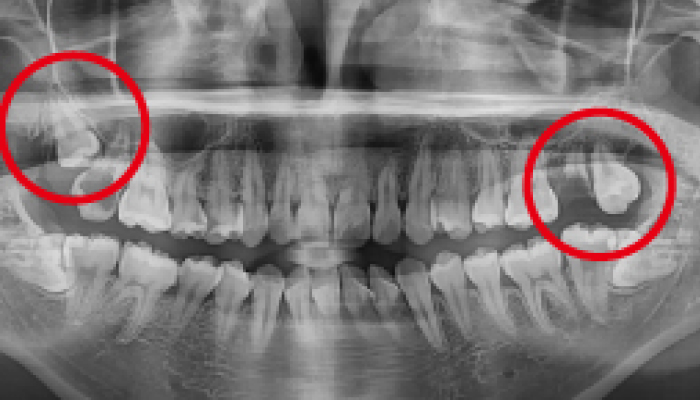
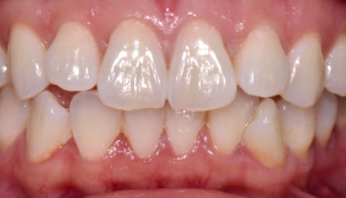
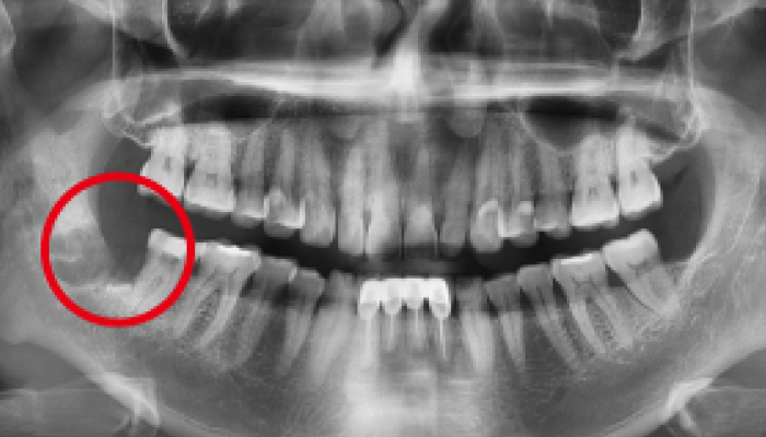
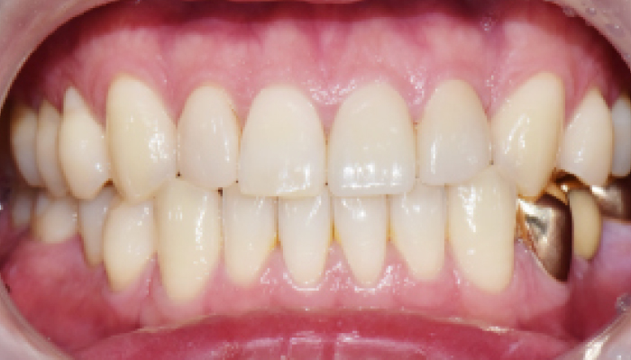
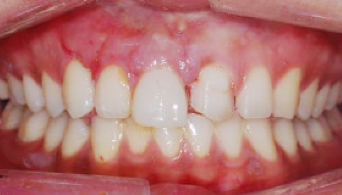
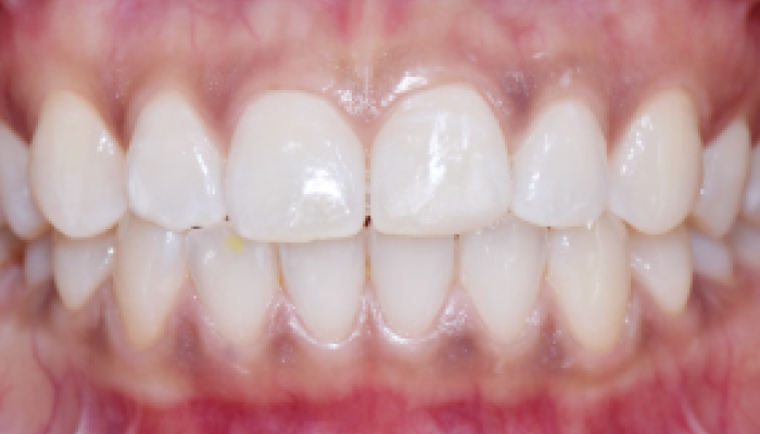
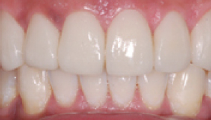
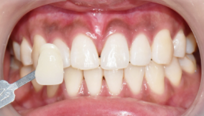
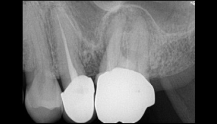
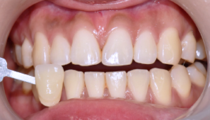
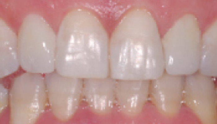
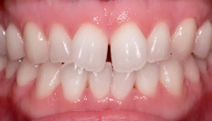
Before & After

남양바른탑치과를 찾아주신
실제 환자분들의 케이스별 전후 사진입니다.

BARUN TOP
Equipment

화성 남양 최대 200평대 규모의 바른탑치과는
최신식 시설, 환자맞춤형 인테리어 완비하였습니다.

정문
로비
독립진료실
VIP실
수술실
상담실
진료실
X-Ray실