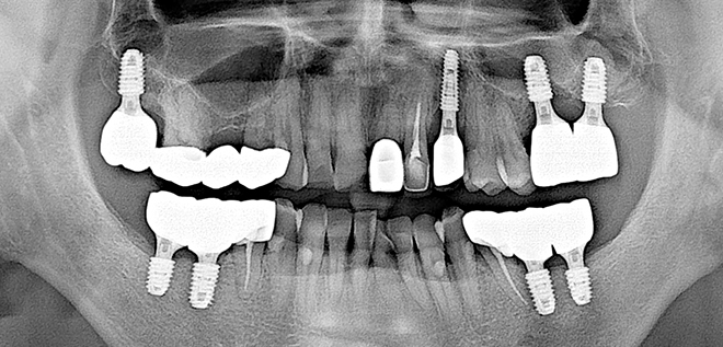
임플란트

풍부한 임플란트 식립 노하우와 최신 장비를 통해 편안하고 오래가는 임플란트를 시술합니다.

강선구 대표원장이 말하는 임플란트

아직도 임플란트 수술 때문에 고민이신가요?!
확실하고 안전한 방법으로 치아 건강을 지켜드리겠습니다.

국민일보 쿠키건강뉴스 데일리건강 임플란트 편 출연

임플란트 전문 치과

난이도가 높고 까다로운
자가치아 뼈이식,
상악동거상술도 안전하게!

자가치아 뼈이식, 상악동거상술은 난이도가 높고
까다로운 수술인 만큼 의료진의경험과 숙련도가 중요합니다.
첨단 디지털 장비을 통한 정확한 진단과 치료계획을 통해
수술의 정확도와 만족도를 높이고 최상의 결과를 만듭니다.
NAMYANG BARUN

뼈이식 정말 필요할까?
뼈이식의 허와 실

뼈이식은 쉽게 말하면 수술 시 사용하는 안전장치입니다.

보통 적절한 임플란트의 길이와 너비를 선택하여 식립할 경우 환자의 뼈의 높이나 너비가 부족한 경우 뼈이식을 하게 됩니다.
뼈이식을 안 한다고 하여 반드시 임플란트가 탈이나거나 수명이 줄어드는 것은 아니며
반대로 뼈이식을 한다고 하여 무조건 임플란트를 튼튼히 오래쓰는 것은 아닙니다.
하지만 뼈이식은 임플란트가 탈이 날 확률을 줄여주기 위해 사용하는 일종의 안전장치 역할을 해줍니다.
암수술을 할 때 수술적 제거 후 방사선 치료나 화학 치료요법을 수 회 반복하는 것은 만에 하나라도 남은 잔존 암세포를 제거하기 위함입니다.
마찬가지로 뼈이식도 만에 하나 있을 뼈의 소실이나 잇몸세포의 침범등을 막아주기 위한
임플란트 수술에서의 확률적 우위를 점하기 위한 일종의 보험이라고 생각하시면 이해 하시기가 쉬울 것입니다.
중요한 것은 뼈이식을 해야하는 경우와 하지 않아야 하는 케이스를 정확히 선별하고
뼈이식을 해야하는 경우라면 왜 뼈이식을 해야하며 어떻게 진행할 것인지를
정확하고 상세하게 설명의 의무를 다하는 치과를 선택하는 것입니다.

자가치아 뼈이식

자가치아 뼈이식이란?

임플란트 시술 시 잇몸뼈가 부족하거나 단단하지 못한 경우 뼈이식술이 필요합니다.
그때 환자의 발치한 치아를 버리지 않고 골이식재로 변환해 잇몸뼈를 재건하는데 사용하는 시술 방법입니다.

자가치아 뼈이식은 자가골, 이종골, 동종골, 합성골 같은 동물의 뼈나 인공뼈보다
나의 조직과 100% 일치하기 때문에 부작용이 적은 맞춤형 뼈이식재로 활용할 수 있습니다.

  • 치조골과
    같은 구성 성분

    튼튼한 잇몸뼈를 형성하며,
    완전히 내 잇몸뼈로 치환

  • 거부반응이 적고
    빠른 치유 가능

    인체 거부 반응이 없고
    전염 및 감염 위험이 없음

  • 어떤 치아도
    사용 가능

    안전하고 뼈의 생착력이
    우수한 골이식재로 사용

  • 장기간
    보관이 가능

    발치하면 버리게 되는
    치아를 장기간 보관 후 사용 가능

자가치아 뼈이식
치료과정

  • 01

    3D CT시스템을 이용한 정밀진단

    3차원 CT장비로 촬영 후 잇몸뼈의 상태 및 신경구조의 미세한 부분까지 진단합니다.
  • 02

    1차 수술계획

    치아모형을 떠서 환자의 치아맞물린 상태를 진단하고 CT사진과 함께 수술계획을 세웁니다.
  • 03

    임플란트 식립

    부족한 부위의 잇몸뼈를 확인 후 임플란트 수술을 시행합니다. 필요에 따라 자자골이나 합성골 등이 쓰일 수 있습니다.
  • 04

    중간 점검

    임플란트와 뼈이식 상태를 점검합니다.
  • 05

    지대주 체결

    수술 후 최소 2~3개월의 안정기간을 거친 뒤 임플란트와 뼈가 완전히 결합하게 되면 임플란트 기둥을 세워 치아가 올라갈 준비를 합니다.
  • 06

    보철물 장착

    자연치아 같은 보철물을 완성하여 임플란트와 결합시켜 최종적으로 시술을 마무리하게 됩니다.

자가치아 뼈이식,
이런 분들에게 필요합니다.

  • 치아를 상실한 후 오랫동안 치료를 받지 않은 경우
  • 사고 또는 치주질환으로 많은 잇몸뼈를 잃으신 분
  • 잇몸뼈의 두께가 얇거나 낮으신 분
  • 잇몸뼈가 부족해 임플란트 지지가 어려우신 분
  • 임플란트 부작용이 두려우신 분
  • 시술 후 빠른 회복을 원하시는 분

임플란트 뼈이식 (골이식) 종류

  • 01

    발치와 보존술

    발치와 보존술은 치조제 보존술이라고도 불리웁니다. 일반적으로 수술과 동시에 뼈이식은 동시에 이루어 지지만, 발치 후 수술이 불가능한 경우 수술이 몇 개월 후에 독립적으로 이루어 집니다. 이럴 경우 발치와의 수축을 방지하기 위하여 발치와에 골이식을 하는 발치와 보존술을 진행합니다.
  • 02

    일반 뼈이식

    일반 뼈이식의 경우 골소실 범위가 협소할 때 골이식재를 소실 부위에 넣거나 발치즉시 임플란트 후 발치와의 빈 공간이 클 경우 사용이 됩니다.
  • 03

    골유도 재생술

    골소실 범위가 광범위할 경우 수직적, 수평적 골재생을 위하여 콜라겐 멤브레인 혹은 티타늄 메쉬 등을 사용하여 뼈이식재의 안정적인 유지를 도모하는 술식입니다.
  • 04

    상악동 거상술

    상악 후방 부위에서 수직적 골폭이 부족할 경우 상악동 막을 거상하여 막과 뼈 사이에 골이식재를 넣어 골의 수직증강을 도모하는 술식입니다. 막을 들어올리는 접근 방향에 따라 치조정 접근법 (crestal approach)과 측방 접근법 (lateral approach)로 나뉩니다. 상악동 거상술이 필요한 경우 대개 치료 기간이 늘어나게 됩니다.

상악동거상술

상악동거상술이란?

부족한 잇몸뼈를 이식하는 시술로 상악동에 있는 얇은 막을 들어 올려 막 아래로 뼈이식을 해서 보강하는 방법입니다.

뼈이식으로 높이를 확보하게 되면 임플란트를 식립해도 상악동을 건드리지 않고
임플란트의 잇몸뼈와 골유착이 잘 되어 안정적으로 시술 할 수 있습니다.

상악동거상술 시술과정

상악동거상술은 고난도 수술로 임플란트 수술 경험이 많은 의료진에게 받는 것이 중요합니다.

  • 01

    임플란트 시술을 위한 정밀진단

    치아를 뺴고 오래 방치하거나 치아를 잡고 있는 치조골이 많이 녹은상태에서 치아를 빼면 위쪽 턱뼈가 부족할 수 있습니다.
  • 02

    뼈이식 / 임플란트 식립공간 확보

    잇몸을 절개하고 난 후 뼈를 넣고 상악동을 들어 올릴만한 작은 통로를 만들어 뼈이식할 공간과 임플란트 식립할 공간을 확보합니다.
  • 03

    잇몸 뼈이식 시술 진행

    들어올린 빈 공간에 뼈를 이식하는데 이때 사용되는 뼈이식 재로로는 자가치아뼈, 자가골, 인공뼈, 합성골 등이 있습니다.
  • 04

    임플란트 매식체 식립

    잔존하고 있는 잇몸뼈의 양에 따라 뼈이식과 동시에 임플란트 식립하기도 하고 6-9개월 후 식립하기도 합니다.

상악동거상술,
이런 분들에게 필요합니다.

  • 잇몸을 다쳐 주변 뼈가 상실된 경우
  • 어금니가 빠진 상태로 오래 지나 잇몸뼈가 녹아내린 경우
  • 임플란트를 식립해야 하는 위치의 뼈가 물렁물렁한 경우
  • 발치 후 오랜기간 방치하신 경우

임플란트를 심기 전에
한번 더 고민합니다.

자연 치아는 최대한 보존하고자 노력하며, 숙련도 높은 의료진이 직접 시술합니다.

  • 풍부한
    임상 경험

  • 바른
    양심 진료

  • 1:1
    맞춤 진료

  • 최신
    디지털 장비

임플란트의 모든 것, 바른탑치과

셀 수 없는 수술 증례

임플란트를 꼭 해야 한다면 제대로 합니다.

바른탑치과는 1셀 수 없는 수술 증례의 풍부한 임플란트 식립 경험과 최신 장비를 통해 편안하고 오래가는 임플란트를 시술합니다.

Before & After

어려운 임플란트 시술도
남양바른탑에서는 가능합니다.

After은 의료법상
로그인 후에 확인 가능합니다.
로그인

After은 의료법상
로그인 후에 확인 가능합니다.
로그인

After은 의료법상
로그인 후에 확인 가능합니다.
로그인

더 많은 케이스 보러가기

BARUN TOP Point 01

남양 처음의 원내 디지털 기공소

경력 20년 이상의 베테랑 전문 기공사가 직접 보철물 디자인부터 제작까지
전 과정에 참여하여 퀄리티 높은 보철물을 완성합니다.

자세히 보기

  • 꼼꼼하고
    정교한 제작
  • 치료기간
    내원횟수 감소
  • 환자 맞춤형
    보철 제작
  • 즉각적
    A/S대응

BARUN TOP Point 042

화성 남양 수면 마취 치과

치과 치료가 무서우신가요?! 이제 걱정하지 마세요.
화성 남양에서 숙련도 높은 수면 마취 치과입니다.

자세히 보기

  • 숙련된 의료진의
    마취 시스템
  • 다양한 치과 치료
    수면으로 가능
  • 검증된
    수면 마취 장비

BARUN TOP Point 03

책임 진료 보증제도 실시

각 진료 별 진료보증제도를 통해 정품인증서를 발급하고
최대 10년 간 책임 보증을 시행합니다.

자세히 보기

  • 각 진료별 사후관리 제도
  • 치료만큼 중요한 철저한 보증과 관리

BARUN TOP Point 04

어려운 케이스 재수술 가능 치과

임플란트 개수, 치료기간, 통증과 붓기, 부작용 등 환자분들이 수술 전
가장 걱정하는 요소들을 줄일 수 있도록 끊임없이 고민하고 연구합니다.

자세히 보기

  • 디지털 장비로
    정확한 분석
  • 환자 개인
    맞춤형 치료
  • 철저한
    치료 계획
  • 수술용
    가이드 제작

BARUN TOP Point 05

통증 최소화 치료 노하우

No Pain 마취기를 통한 최소 통증마취와
숙련된 의료진의 노하우로 통증 최소화 치료를 시행합니다.

자세히 보기

  • 무통마취기를
    통한 마취
  • 숙련된 의료진의
    마취 노하우
  • 통증의
    최소화

BARUN TOP Point 06

10단계 멸균 소독 시스템

1인 1기구 사용을 원칙으로 10단계에 걸친 멸균 소독 작업과
감염 관리 및 방역 수칙을 철저히 지키고 있습니다.

자세히 보기

  • 1인 1기구
    원칙
  • 철저한
    소독/멸균
  • 교차감염
    방지 시스템
  • 정기적
    직원 교육

BARUN TOP Point 07

패키지 프로모션 안내

다양한 진료 패키지로 치과 치료에 대한
비용 부담을 덜어드리고 있습니다.

자세히 보기

  • 임플란트
    패키지
  • 미백
    패키지
  • 불소
    패키지

남양 처음의 원내 디지털 기공소

화성 남양 수면 마취 치과

책임 진료 보증제도 실시

어려운 케이스 재수술 가능 치과

통증 최소화 치료 노하우

10단계 멸균 소독 시스템

패키지 프로모션 안내

Contact to
BARUN TOP

마음과 정성이 닿을 때까지 진심을 다해 진료합니다.

  • 대표번호

    031.8077.2600

  • 오시는길

    경기도 화성시 시청로6 훼미리프라자 3층

    네이버지도 자세히보기

  • 진료시간

    화/목/금09:30 - 18:30

    월/수09:30 - 20:30(야간진료)

    점심시간12:30 - 14:00

    토요일09:30 - 14:00 (점심시간 없음)

    일요일 및 공휴일은 휴진입니다.
비급여항목이용약관개인정보처리방침
Copyright 2018 © 바른탑치과의원 All rights reserved.