심미치료

자연치아 같은 자연스러움은 물론 더욱 편안한 착용감으로 완성도 높은 심미치료 결과를 자신합니다.

치아미백

치아 미백 치료를 통해
하얗고 자신있는 치아

치아미백은 누렇거나 까맣게 변색된 치아를
미백 치료를 통해 희고 깨끗하게 하는 치과 시술입니다.
치아미백은 치아 미백제를 도포하여 변색된 치아의 색소를 산화하여
치아 표면을 하얗게 만들어주는 과정으로
환자의 상태에 따라서 변색된 원인을 파악해야 하며,
그에 맞춰 적절한 미백 치료가 진행되어야 합니다.
NAMYANG BARUN

치아 미백의 원리

치아 미백이란 여러 원인에 의해 변색된 치아를 밝게 만들기 위해 약제와
특수 광선을 사용하여 치아 표면의 변색 인자를 제거하는 시술의 일종입니다.

비교적 간단하고 안전하지만 전문가 미백은 의약품으로 분류되므로 반드시 전문가와 상의 후 치료를 받아야 안전하고 우수한 효과를 기대할 수 있습니다.
대부분의 경우 단단한 법랑질을 넘어 내부까지 변색인자를 제거하기 위해서는 60분 (3회) 가량의 전문가 미백이 필요로 됩니다.

자가치아 색상 체크

치아색은 A1 ~ D4까지 총 16단계로 구분짓습니다.
B1에 가까울 수록 자연치의 밝은 색이며, C4에 가까울수록 어두운 색에 해당합니다.
20~30대 연령층의 평균적인 치아색은 A2정도이며 A3부터는 어두운 치아색에 속합니다.

치아미백 종류

전문가 치아미백

자가 치아미백

과산화수소 농도

15% (고농도)

3.5 - 5.4%

소요시간

약 30분

수일 / 수주 동안 반복 사용

미백효과

1회만으로 3 - 4단계 미백 효과

시간이 걸리나 효과는 있고, 치과 치아미백과 병행 할 경우 효과를 높일 수 있음

안전성

숙련된 의료진이 정품 장비 / 미백제 사용하기 때문에 안전함

안전함

시술방법

의료진 상담 후 치과에서 직접 시술

의료진 상담 후 개인 맞춤형 미백틀을 제작하여 자가 미백

치아미백, 이런분께 추천합니다.

  • 커피, 와인, 흡연 등으로 인해 색소가 침착된 분
  • 선천적으로 치아색이 누런 경우
  • 결혼, 면접 등 중요한 일정을 앞두신 분
  • 하얗고 투명한 치아를 원하시는 분

남양바른탑치과 오스템 정품의 뷰티스 미백제

남양바른탑치과는 식약처 인증으로 안정성을 검증받은 오스템 정품의 뷰티스 미백제를 사용하고 있습니다.

치아미백 치료방법

충분한 상담 후 환자에게 맞는 최상의 치료를 받을 수 있도록 해드립니다.
  • 01

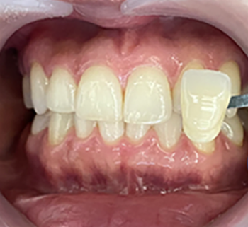
    전문가 미백

    남양바른탑치과는 안전을 승인 받은 미백제를 사용합니다.
    전문가 미백은 미백제와 미백 전용 램프를 이용하여
    오랜 기간에 걸쳐 누렇게 착색되고 변색된 치아를
    하얗게 만들어 드리는 치료방법입니다.
  • 02

    자가 미백

    치아 틀에 미백제를 도포하여 착용하는 방법입니다.
    자가 미백은 개인별 자가 미백 키트를 이용하여
    집에서도 치아 미백을 할 수 있는 방법으로 전문가
    미백의 효과를 더욱 오래 지속시켜주는 치료방법입니다.

원데이 치아 미백의 과정

  • 01

    촬영, 진단

    치아와 잇몸상태를 파악하기 위해 촬영과 진단을 합니다.
  • 02

    표면 폴리싱

    미백효과 최대화를 위해 치아 표면을 매끄럽게 만듭니다.
  • 03

    잇몸보호제 도포

    잇몸 보호제를 사용해 잇몸을 보호합니다.
  • 04

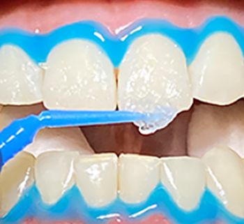
    치아미백제 도포

    치아미백제를 미백하고자 하는 치아에 도포합니다.
  • 05

    특수 램프 조사

    특수 램프를 이용해 미백젤을 활성화합니다.

치아 미백 자주하는 질문

  • Q.

    미백 후 주의할 점은 무엇이 있나요?
  • Q.

    미백 할 때 많이 시린가요?
  • Q.

    미백을 하면 치아에 안 좋지는 않나요?

BARUN TOP Point 01

남양 처음의 원내 디지털 기공소

경력 20년 이상의 베테랑 전문 기공사가 직접 보철물 디자인부터 제작까지
전 과정에 참여하여 퀄리티 높은 보철물을 완성합니다.

자세히 보기

  • 꼼꼼하고
    정교한 제작
  • 치료기간
    내원횟수 감소
  • 환자 맞춤형
    보철 제작
  • 즉각적
    A/S대응

BARUN TOP Point 042

화성 남양 수면 마취 치과

치과 치료가 무서우신가요?! 이제 걱정하지 마세요.
화성 남양에서 숙련도 높은 수면 마취 치과입니다.

자세히 보기

  • 숙련된 의료진의
    마취 시스템
  • 다양한 치과 치료
    수면으로 가능
  • 검증된
    수면 마취 장비

BARUN TOP Point 03

책임 진료 보증제도 실시

각 진료 별 진료보증제도를 통해 정품인증서를 발급하고
최대 10년 간 책임 보증을 시행합니다.

자세히 보기

  • 각 진료별 사후관리 제도
  • 치료만큼 중요한 철저한 보증과 관리

BARUN TOP Point 04

어려운 케이스 재수술 가능 치과

임플란트 개수, 치료기간, 통증과 붓기, 부작용 등 환자분들이 수술 전
가장 걱정하는 요소들을 줄일 수 있도록 끊임없이 고민하고 연구합니다.

자세히 보기

  • 디지털 장비로
    정확한 분석
  • 환자 개인
    맞춤형 치료
  • 철저한
    치료 계획
  • 수술용
    가이드 제작

BARUN TOP Point 05

통증 최소화 치료 노하우

No Pain 마취기를 통한 최소 통증마취와
숙련된 의료진의 노하우로 통증 최소화 치료를 시행합니다.

자세히 보기

  • 무통마취기를
    통한 마취
  • 숙련된 의료진의
    마취 노하우
  • 통증의
    최소화

BARUN TOP Point 06

10단계 멸균 소독 시스템

1인 1기구 사용을 원칙으로 10단계에 걸친 멸균 소독 작업과
감염 관리 및 방역 수칙을 철저히 지키고 있습니다.

자세히 보기

  • 1인 1기구
    원칙
  • 철저한
    소독/멸균
  • 교차감염
    방지 시스템
  • 정기적
    직원 교육

BARUN TOP Point 07

패키지 프로모션 안내

다양한 진료 패키지로 치과 치료에 대한
비용 부담을 덜어드리고 있습니다.

자세히 보기

  • 임플란트
    패키지
  • 미백
    패키지
  • 불소
    패키지

남양 처음의 원내 디지털 기공소

화성 남양 수면 마취 치과

책임 진료 보증제도 실시

어려운 케이스 재수술 가능 치과

통증 최소화 치료 노하우

10단계 멸균 소독 시스템

패키지 프로모션 안내

Contact to
BARUN TOP

마음과 정성이 닿을 때까지 진심을 다해 진료합니다.

  • 대표번호

    031.8077.2600

  • 오시는길

    경기도 화성시 시청로6 훼미리프라자 3층

    네이버지도 자세히보기

  • 진료시간

    화/목/금09:30 - 18:30

    월/수09:30 - 20:30(야간진료)

    점심시간12:30 - 14:00

    토요일09:30 - 14:00 (점심시간 없음)

    일요일 및 공휴일은 휴진입니다.
비급여항목이용약관개인정보처리방침
Copyright 2018 © 바른탑치과의원 All rights reserved.